keep-smiling

7 years is the ideal age for your child’s first Orthodontic Check-up.

April 1, 2024

We believe that awareness is the first form of prevention and this is the idea behind sharing this blog with you all.

Early Preventive & Interceptive Orthodontics for kids.

What is Interceptive Orthodontics?

Early Interceptive Orthodontics involves alignment of teeth and jaws for your growing child to facilitate & guide growing dentition and jaws, and to intercept the development of adverse conditions and malocclusion. 

Early Preventive and Interceptive orthodontic treatment is intended to optimize dentofacial growth and development. It also reduces the need for orthodontic treatment in the future.


What is the Ideal age for my child’s first orthodontic visit?

7 Years: As per the recommendation of the American Association of Orthodontists children should be screened at the age 7. 

By this age your child has enough permanent teeth to spot and intercept any developmental teeth or jaw problems.


How can I spot myself if my child needs an orthodontic consultation? 

If your child’s teeth alignment looks like any of the following it is time to seek professional help, 

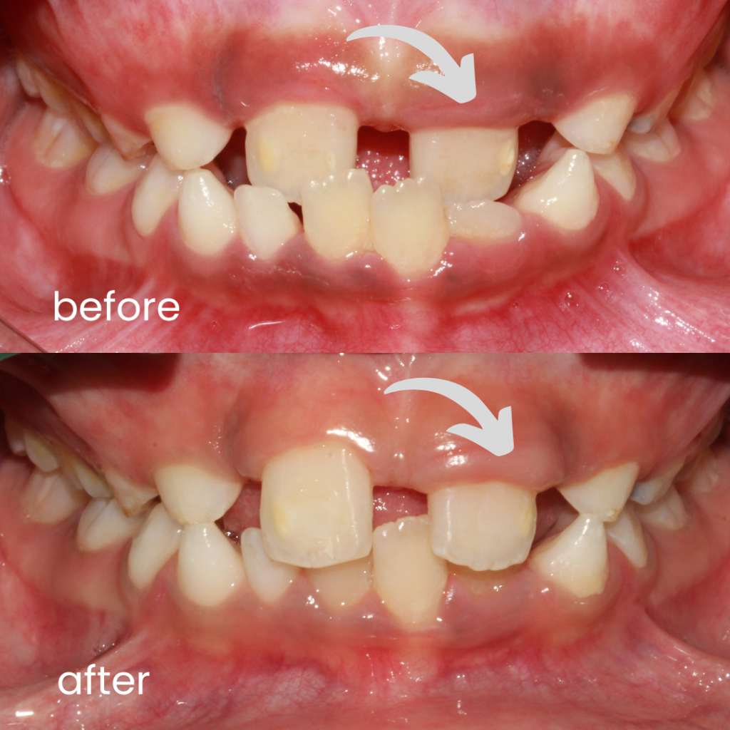
  1. Excessive spaces between the teeth – It may indicate missing or Impacted teeth. 
  1. Very crowded teeth – It indicates severe “tooth size-arch length discrepancy” i.e there is not enough space in the jaws to accommodate growing teeth. 
  1. Habits (Thumb sucking, Digit sucking, pacifier sucking) – it may hint towards abnormal growth of the jaws. 
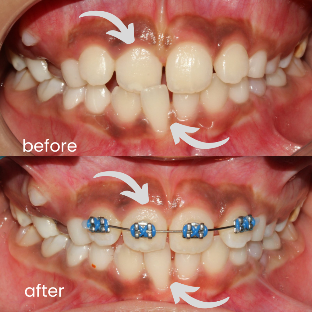
  1. Crossbite/Underbite – It is when upper teeth are growing inside of the lower teeth. It may lead to function shift and altered jaw growth. 

Narrow jaws may lead to breathing problems requiring early intervention.


What role does your orthodontist play? 

Your orthodontist during the consultation would monitor the following things: 

  • Careful monitoring of the space available in the arch.
  • Natural exfoliation of milk teeth.
  • Eruption pattern of the permanent teeth and their occlusal relationship.

What are the most common Treatment options at this age? 

  • Arch expanders – to deal with the narrow and restricted growth of the upper jaws. 
  • Tongue blade therapy – to guide the developing anterior crossbite.
  • Braces (2×4 appliance) – to guide the developing mal-alignment of permanent teeth and to create and maintain space for the erupting permanent teeth.
  • Myofunctional jaw therapy – To facilitate or restrict undergrowing or overgrowing jaw.
  • Space Maintainers – They help in maintaining the space intact for erupting permanent teeth.