keep-smiling

Invisalign Palatal Expander vs Traditional Expander: What Parents Should Know

November 28, 2025

Invisalign Palatal Expander vs Traditional Expander: Benefits, care and Guide

Orthodontics has evolved rapidly over the past few years, and one of the most exciting developments is the Invisalign Palatal Expander (IPE)—a modern alternative to the traditional metal expander used for decades.


If your child has been advised expansion of the upper jaw, you may be wondering which option is better in terms of comfort, efficiency, and suitability for their age and lifestyle.


This blog highlights the key differences and helps you understand how each system works.

Why Do Kids Need a Palatal Expander?

A palatal (upper jaw) expander is needed to widen the upper Jaw and dental arch to correct:

  • Cross bites
  • Crowding
  • Narrow Upper Jaws
  • Mouthbreathing
  • Airway Improvement in some cases

The ideal time for this is before 11-12 years of age, when the upper jaw is still growing.

Expansion is also possible after 11-12 years of age, but we may not get complete correction.


What Is a Traditional Palatal Expander?

Traditional Palatal Expander

A traditional expander is a metal device fixed to the upper molars and premolars.

Parents or patients manually turn a small screw at the center using a key (usually 2-4 turns/day), thus widening the upper jaw.

  • Effective and widely used
  • Works well for significant expansion needs
  • Suitable for most of the cases

  • Bulky and sometimes uncomfortable
  • More Painful than Invisalign palate expander
  • Speech changes are common initially
  • Requires manual screw activation
  • Difficult to clean and maintain hygiene
  • May cause food trapping or irritation



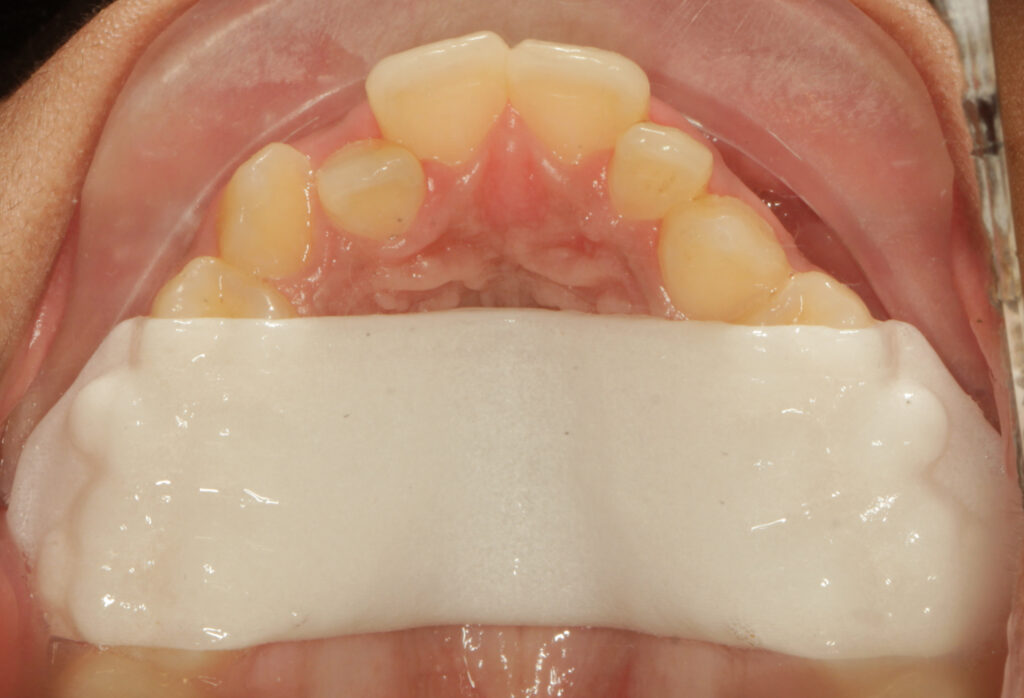
What Is the Invisalign Palatal Expander?

The Invisalign Palatal Expander is a 3D-printed, removable, and almost invisible expander, custom-made using digital scans.


Instead of a metal screw, it uses a series of pre-activated expanders to gently expand the Upper jaw.

Invisalign Palatal Expander in India

  • Clear, comfortable, and more aesthetic
  • Less painful than traditional Palatal Expander
  • No metal parts or sharp edges
  • Digital precision for predictable results
  • Easier for children to adapt to
  • Better oral hygiene
  • No manual key turning needed
  • Works alongside the Invisalign system if needed later

  • Requires good compliance
  • Designed primarily for growing children
  • May not be suitable for very large expansions (depends on individual case)

Invisalign Palatal Expander Before and After

Which Is Better?

As a parent, choosing the right expander for your child can feel overwhelming—I completely understand. At Embrace Orthodontics, my goal is always to help you feel confident and informed about what’s best for your child’s smile and comfort.

Traditional expanders have been trusted for decades, and they’re still the best option when a child needs a significant amount of jaw expansion. They’re reliable, effective, and time-tested.


On the other hand, the Invisalign Palatal Expander provides a less painful, more comfortable, and more aesthetic experience.

Many children adapt to it quickly, and parents love that it fits seamlessly into daily life.

Every child is unique. Their jaw growth, comfort level, confidence, and routine all play an important role in choosing the right option. That’s why I take the time to look closely at your child’s specific needs and talk through each option with you—so together, we can choose what will set them up for the best long-term results.

In the end, the “best” expander is the one that fits your child’s smile, their personality, and your family’s lifestyle. And at Embrace Orthodontics, I’m here to guide you through that decision with care and clarity every step of the way.



Looking Ahead: Invisalign First

If you’re exploring early orthodontic treatment, make sure to read our next blog on Invisalign First—a comprehensive guide to clear aligner treatment specially designed for children aged 6–10 years.

Continue to: Invisalign First for kids – How it can benefit your child?