Can Invisalign Fix Overbites and Underbites? Stunning Before & After Results
August 23, 2025See how Invisalign corrects severe overbites, underbites, and many such complex cases. Explore real Before & After results and discover what’s possible for your smile!

Not every smile is simple to straighten. Many patients believe their case is “too complicated” for Invisalign, especially when dealing with severe crowding, open bites, crossbites, or rotated teeth. But with today’s advanced aligner technology and careful treatment planning, even the most challenging cases can achieve life-changing results.
At Embrace Orthodontics, under the care of Dr. Keyur Mehta, these real patients faced tough orthodontic challenges — and experienced remarkable Invisalign transformations. We are also proud to share that Dr. Mehta’s cases have been featured in the Align Global Gallery, a recognition reserved for outstanding Invisalign treatments worldwide.
Invisalign Before & After Gallery
Explore some of our most challenging Invisalign cases, including overbite, underbite, crowding, and crossbite corrections.
1. Correction of Severe Over bite with Invisalign
This patient had been denied Invisalign treatment by multiple providers in Mumbai due to the complexity of their case.
At Embrace Orthodontics, we took up the challenge, created a customized plan, and achieved a remarkable transformation with Invisalign aligners. 🪄


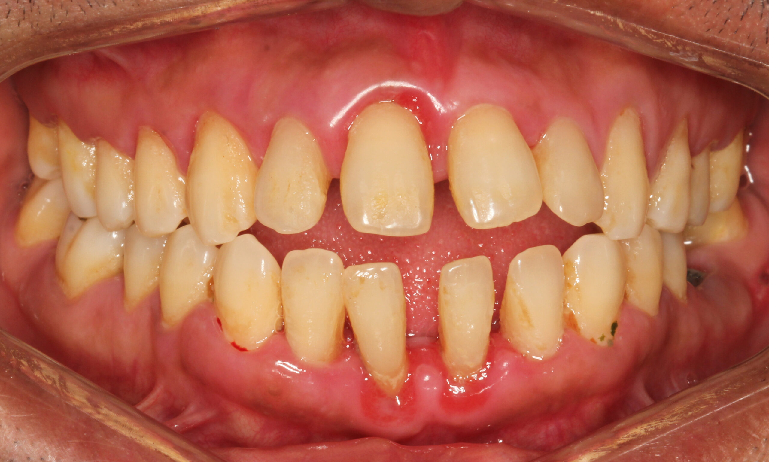
Challenge: Patient presented with more than 100% overbite, causing
- Trauma to the gums of the upper and lower front teeth.
- Wearing out of the front teeth due to constant friction while moving the jaws.
- Upper front teeth were barely visible, causing aesthetic concerns.
Approach: Invisalign aligners with precision attachments and elastics were used to gradually move the teeth into proper alignment.
Result: After 24 months, the overbite was corrected, resulting in a healthier bite and confident smile.
✨ 24 months: Severe overbite corrected with Invisalign.
2. Correction of severe Proclination with overbite
Can we correct overbite with Invisalign? Asked a curious teenager who was bullied for his teeth alignment.






Challenge: Patient presented with more than 8 mm overjet making it difficult to correct without teeth extractions. He also had,
- Lip incompetency (inability to completely close lips)
- Difficulty in pronouncing certain words
- Lower incisors hitting the upper gums causing frequesnt ulcers
Approach: Treatment was planned with 4 premolar extractions to create space for the forwardly placed teeth. Clincheck was planned with meticulous details to make sure every aspect of the correction is covered.
Result: After more than 18 months, the overbite was corrected, resulting in a healthier bite and confident smile.
His motivation to correct his smile drove him to relentlessly wear aligners throughout the treatment.
3. Correction of Severe Crowding
What began as a response to trolling became a journey of self-confidence, ending with a smile they’re proud to share—on and offline.




Challenge: Patient presented with over-crowded teeth. Due to lack of space, canines had grown out of the arch making it difficult to correct without teeth extractions.
- Difficulty in maintaing oral hygiene
- Friction between the upper and lower front teeth causing them to wear out faster
- Crooked teeth leading to hesitation while smiling
Approach: 4 Premolar extractions were planned to achieve treatment objectives
Results: In spite of being in an aesthetically demanding profession, the patient maintained the 22-hour wear rule and, with 24 months of disciplined Invisalign use, achieved a precise and confident smile transformation.
Check out her full story here. 👇
Buccally placed Canines – Aesthetic and Functional alignment
5. Correction of Severe Open bite
This adult male in his late 40s had resigned himself to living with an open bite, believing it was too late for change.




Challenge: Patient presented with over-crowded teeth. Due to lack of space, canines had grown out of the arch making it difficult to correct without teeth extractions.
- Mouth breathing leading to inflammation of the gums
- Open bite with limited contact points between the teeth causing difficulty in chewing food
- Gaps between the his teeth and the “negative smile curve” affecting his smile confidence
Approach: Invisalign treatment was carefully planned with his age and compromised gum health in mind, ensuring a smile he once thought impossible.
Results: With Invisalign, consistent wear, and careful planning, he achieved a functional bite and a confident smile.
4. Correction of Severe Underbite
It is a common misconception that most underbites can only be corrected with orthognathic surgery. However, with the advent of advanced Invisalign treatment modalities and careful case selection, a majority of underbite cases can now be treated without surgery. Invisalign works by gradually repositioning the lower jaw and teeth to achieve a more harmonious bite. Early intervention often yields the best results, but even adult patients can experience significant improvements in function and appearance with aligner therapy.
Here we have two young men in their 20s who were living abroad during treatment. Despite travel and lifestyle challenges, both successfully completed their Invisalign journeys with excellent results. Thanks to remote monitoring and aligner flexibility, they were able to stay on track and achieve their smile goals without interruption.
Conclusion
Crooked teeth don’t just affect your smile—they can also impact your self-confidence and long-term oral health. As these 10 Invisalign before-and-after transformations prove, clear aligners offer a discreet, comfortable, and effective way to achieve a straighter smile without the inconvenience of metal braces.
If you’d like to dive deeper, check out our guides on tips for a successful Invisalign Treatment.
Are you confused if you should go for Invisalign or braces?? Check out our detailed comparison.
🚀 Ready to see your smile transformation? Book an Invisalign Consultation today and discover how quickly you can start your journey to a confident, healthy smile.

